TERAPIA
GÉNICA EN ALZHEIMER
TIPO: Terapia
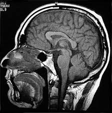
génica en células somáticas colinérgicas neuronales del cerebro anterior basal
LUGAR: Ex-Vivo
PROCEDIMIENTO: Esta terapia se realizó:
·
En ocho pacientes, cinco mujeres y tres hombres entre 54-76
años con enfermedad de Alzheimer en etapa temprana.
·
Se implanto fibroblastos obtenidos
a partir de pequeñas biopsias de
piel y modificados genéticamente ex vivo para expresar NGF humano.
·
Las células modificadas se inyectaron en el prosencéfalo con una sesión quirúrgica.
GEN A TRATAR: NGF nerve growth factor
ESTRATÉGIA: Vector: virus
leucemia de Moloney
RESULTADOS:
·
El NGF reduce la pérdida de neuronas
colinérgicas, simula la función de estas neuronas y mejora la memoria en
pacientes con de Alzheimer
·
Los estudios en animales indican que
sobrevivieron a estudio insertando los genes modificados genéticamente.
·
Después de 18 meses del tratamiento se
realizó el test de MMSE y los pacientes mostraron una mejora en su puntuación
·
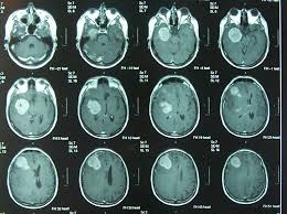
Uno de los pacientes murió por una hemorragia
causada por cirugía
·
Otro de los pacientes sufrió dos episodios
sincopales
Ventajas: Mejora la
memoria
Previene la degeneración colinérgica
Las células implantadas
no migran
No causa
efectos tóxicos
No forma tumores
Desventajas: Puede producir
dolores de cabeza, espalda
Pérdida de peso
Webgrafía:

